Especialistas en periodoncia e implantología en Murcia
En Clínica Dental Pons Fuster llevamos más de 40 años dedicados al cuidado integral de la salud bucodental, siendo referentes en periodoncia, implantología y cirugía regenerativa en Murcia.
Nuestra forma de entender la odontología se basa en un diagnóstico preciso, el uso de tecnología de vanguardia y una atención totalmente personalizada, con un objetivo claro: preservar la salud, la función y la estética de tu sonrisa a largo plazo.
La clínica está formada por un equipo multidisciplinar altamente cualificado, liderado por el Dr. Álvaro Pons-Fuster López, especialista en periodoncia e implantes. Abordamos todas las patologías bucodentales desde un enfoque integral, contando con dentistas colaboradores expertos en cada área, comprometidos con la excelencia clínica y la formación continuada.
Tratamientos dentales personalizados para cuidar la salud, la función y la estética de tu sonrisa con soluciones avanzadas y resultados duraderos.
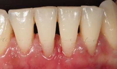
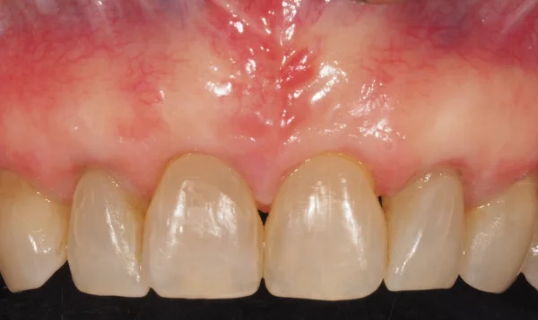
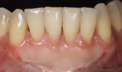
La periodoncia cuida las encías y el hueso que sostienen los dientes, tratando enfermedades como la gingivitis y la periodontitis. Su objetivo es mantener una base sana.
La implantología sustituye dientes perdidos mediante implantes dentales seguros y estéticos. Permite recuperar la función masticatoria y la apariencia natural de la sonrisa de forma estable y duradera.
La cirugía regenerativa recupera encía y hueso perdidos alrededor de dientes o implantes. Es clave para crear una base sólida que garantice la salud bucal y el éxito de otros tratamientos.
La ortodoncia corrige la posición de los dientes y la mordida. Mejora la estética, facilita la higiene y previene problemas funcionales a largo plazo.
La estética dental mejora la sonrisa de forma natural y armónica. Incluye tratamientos diseñados para realzar la belleza dental respetando su estructura.
La odontología general es la base para mantener una boca sana, prevenir problemas y detectar a tiempo cualquier alteración antes de que avance.
La endodoncia elimina la infección del interior del diente y alivia el dolor. Permite conservar la pieza dental y evitar su extracción.
Las prótesis dentales reemplazan dientes ausentes o dañados. Devuelven la función y la estética de la sonrisa con soluciones cómodas y personalizadas.




















Las reseñas y opiniones de nuestros pacientes reflejan la calidad de nuestra clínica dental
EXCELENTE A base de 227 reseñas Publicado en Manuel Sanz del RíoTrustindex verifica que la fuente original de la reseña sea Google. Grandes profesionales. Llevo un año siendo tratado por ellos y estoy muy contento. Las intervenciones que me han hecho han salido de 10!Publicado en Paqui CarreñoTrustindex verifica que la fuente original de la reseña sea Google. Soy paciente de Álvaro, y quiero destacar, a parte de ser un gran profesional, su trato cercano y amabilidad. Llevo operaciones de regeneración de hueso e implantes, y han salido todas muy bien, sin problema y muy buen resultado.Publicado en Javier TaviraTrustindex verifica que la fuente original de la reseña sea Google. Muy bien trato y profesionalidad.Publicado en Natalia Cutillas AullóTrustindex verifica que la fuente original de la reseña sea Google. Unos magníficos profesionales y un trato exquisitoPublicado en Maria Crespo aznarTrustindex verifica que la fuente original de la reseña sea Google. Trato excelente. Han sido muy amables conmigo en todo momento, además de puntuales. Álvaro es un gran profesional, así como el equipo que lo rodea. Elegiría este sitio sin dudarPublicado en MIGUEL MARTIN TUERTOTrustindex verifica que la fuente original de la reseña sea Google. Descubrí la Clínica Pons Fuster por recomendación de un amigo y la verdad que me ha sorprendido, su atención, su amabilidad, muy profesionales todos!! Marcan la diferencia con el resto de clínicas.Publicado en Laura O.C.Trustindex verifica que la fuente original de la reseña sea Google. Quiero expresar mi más sincero agradecimiento al doctor Álvaro junto al equipo por su dedicación profesionalismo y calidad humana durante mi tratamiento . La labor que realizan marca diferencia en la vida de los pacientes , el resultado en mi caso ha sido muy satisfactorio y como se dice,ha devuelto mi sonrisa !!!!! Los recomendaré siempre Muchas gracias ☺️Publicado en María del Carmen GarcíaTrustindex verifica que la fuente original de la reseña sea Google. El trato para con los pacientes es muy bueno, son un gran equipo de profesionales.